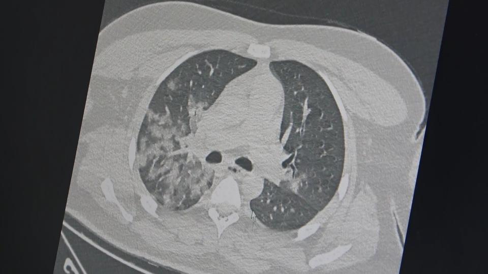
Göğüs Hastalıkları Uzmanı Prof. Dr. Şevket Özkaya, "Özellikle gençlerin kovid-19 sonrası bozulmuş damar yapısı, ağır egzersiz ve spor ile ölümcül kalp krizlerine neden oluyor. Ani artan genç ölümlerinden Kovid-19 aşıları değil, korona virüsünün ... haberin devamı için tıklayın
- 8 Mart 2025, Cumartesi 12:26


